Servicii
hopesmilesv@gmail.com
+40 770 916 780
Str. Humorului 21, Șcheia 727525
© 2025 HOPE SMILE SRL
2. Tratament ortodontic cu patru extractii premolari
Tratamentul ortodontic cu extracții de 4 premolari: O abordare pentru o aliniere perfectă
De ce se extrag premolarii în tratamentul ortodontic?
În anumite cazuri, pentru a obține o aliniere perfectă a dinților și o ocluzie stabilă, ortodonții pot recomanda extracția a patru premolari (doi pe fiecare arcadă). Această decizie poate părea drastică, dar este adesea necesară atunci când există o înghesuire severă a dinților și nu există suficient spațiu în arcadă pentru a-i alinia corect.
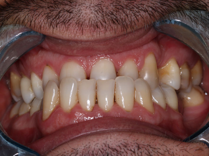
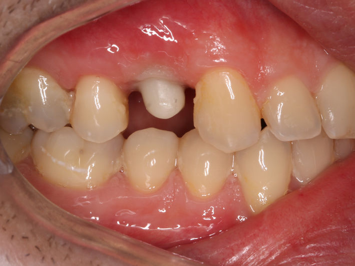
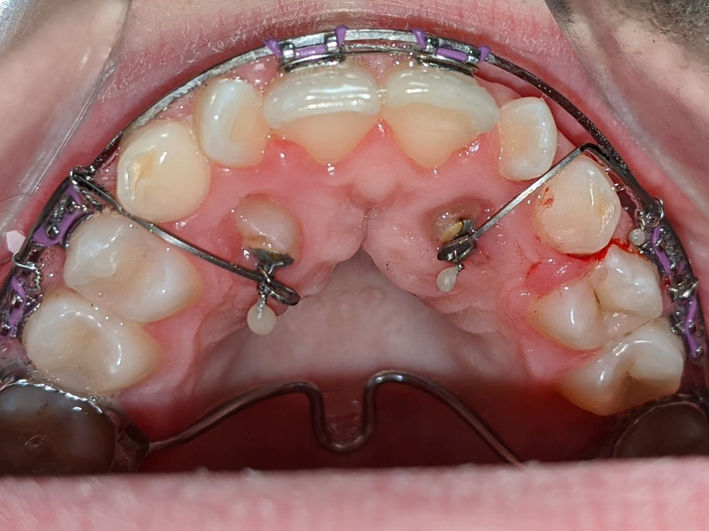
3. Tratament ortodontic la pacient adult cu disjunctor ancorat pe miniimplanturi
Mini-implanturile ortodontice sunt niște șuruburi mici, din titan, care se plasează în osul maxilarului sau mandibular, acționând ca niște puncte de ancorare în timpul tratamentului ortodontic. Ele sunt mai subțiri și mai scurte decât implanturile dentare clasice, fiind special concepute pentru a facilita mișcarea dinților într-un mod mai precis și mai eficient.
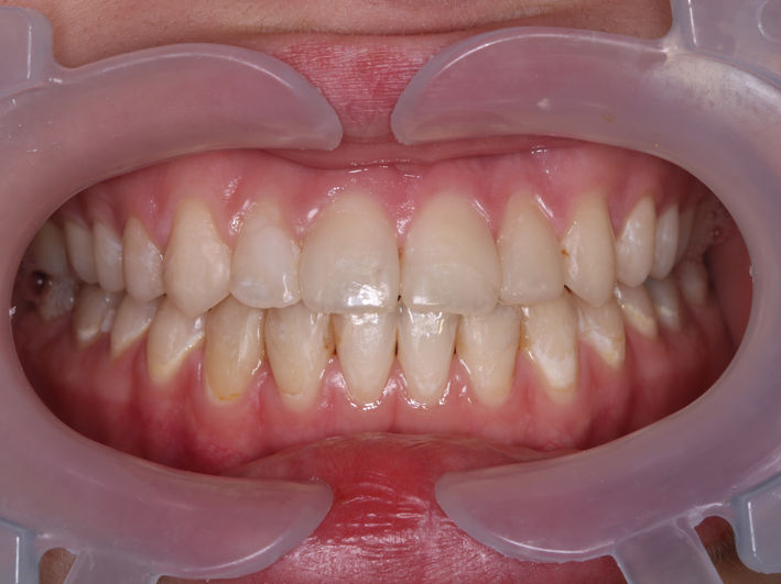
4. Tratament ortodontic pacient adult
O perioadă a existat preconcepția că tratamentul ortodontic este destinat doar copiilor sau adolescenților. Acest lucru nu este adevărat, putând fi realizat la orice vârstă. Particularitatea tratamentelor la pacienții adulți vine din prezența celorlalte patologii dentare și necesitatea colaborării cu celelalte discipline (chirurgie, parodontologie, endodonție, protetică).
În acest caz am realizat retratament endodontic 2.6, extracție 4.6, tratament ortodontic, inserare implanturi în locul dinților lipsă 1.6, 3.6, 4.6, coroane dentare din zirconiu multilayer înșurubate pe implanturi.
02 Obturații dentare
Ce este o obturație dentară?
O obturație dentară, (o plombă), este o procedură stomatologică prin care restaurează un dinte deteriorat de carie sau alte leziuni. Procedura implică îndepărtarea țesutului dentar afectat și umplerea cavității cu un material special, cum ar fi compozitul, amalgamul sau ceramica, pentru a restabili forma și funcția dintelui.
03 Protetică
1. Protetica de tip All on 4 / All on 6
Protezarea de tip All on 4/ All on 6 este cea confortabilă metodă de protezare a pacienților fără dinți pe o arcadă dentară. Prezintă 2 avantaje importante:
1. Permite protezarea imediată (pacientul are dinți provizorii la 48 de ore de la realizarea intervenției chirurgicale.
2. Lucrările sunt fixe: se simt și arată ca dinții naturali.
Pacient cu lucrare All on 6 maxilară si All on 4 mandibulară
-
Radiografie a pacientului cu implantele inserate
-
Proba scheletului metalic a lucrărilor protetice
-
Aspectul extraoral al lucrărilor protetice
-
Aspect intraoral al lucrărilor protetice
2. Coroane Zirconiu
Coroana de zirconiu este o lucrare protetică fixă din ce în ce mai populară în stomatologie datorită proprietăților sale estetice și mecanice excepționale. Este folosită pentru a acoperi în totalitate un dinte deteriorat, fracturat sau cu o obturație extinsă, redându-i forma, funcționalitatea și culoarea naturală.
De ce să alegeți o coroană de zirconiu?
-
Estetică superioară: Zirconiul este un material ceramic care imită perfect culoarea și transluciditatea dinților naturali, oferind un aspect foarte estetic.
-
Rezistență și durabilitate: Este un material extrem de dur și rezistent la fracturi, asigurând o longevitate îndelungată a coroanei.
-
Biocompatibilitate: Zirconiul este un material biocompatibil, ceea ce înseamnă că este bine tolerat de organism și nu provoacă reacții alergice.
-
Margini precise: Tehnologia de fabricație permite realizarea unor margini extrem de precise, asigurând o etanșeitate perfectă și prevenind apariția cariilor secundare.
-
Conservare dentară: Pentru realizarea coroanei de zirconiu se șlefuiește mai puțin din structura dintelui comparativ cu alte tipuri de coroane, ceea ce înseamnă o conservare mai mare a țesutului dentar sănătos.
3. Coroana unidentară pe implant
O coroană dentară pe implant este o restaurare dentară care înlocuiește un dinte lipsă cu un dinte artificial atașat la un implant dentar.
Implantul este un șurub de titan care este plasat chirurgical în osul maxilarului pentru a acționa ca o rădăcină artificială a dintelui. Odată ce implantul s-a contopit cu osul (un proces numit osteointegrare), se plasează o coroană deasupra acestuia pentru a restabili aspectul și funcția dintelui lipsă.
Coroanele dentare pe implant sunt o opțiune de tratament populară și eficientă pentru înlocuirea dinților lipsă deoarece:
-
Restabilesc aspectul zâmbetului: Coroanele pot fi realizate pentru a se potrivi cu culoarea și forma dinților naturali.
-
Restabilesc capacitatea de a mânca și de a vorbi: Coroanele oferă o suprafață stabilă și durabilă pentru mestecat și vorbit.
-
Previn pierderea osoasă: Când lipsește un dinte, osul maxilarului poate începe să se deterioreze. Implanturile ajută la conservarea osului oferind o bază stabilă pentru coroană.
-
Îmbunătățesc sănătatea orală: Coroanele pot ajuta la prevenirea deplasării altor dinți, ceea ce poate duce la probleme cu mușcătura și la pierderea ulterioară a dinților.
Dacă vă lipsesc unul sau mai mulți dinți, o coroană dentară pe implant poate fi o opțiune bună pentru dumneavoastră.
4. Onlay
Onlayul este o restaurare dentară utilizată pentru a repara o zonă afectată de carie sau o structură dentară deteriorată, care nu necesită o coroană completă. Onlay-urile sunt realizate din materiale durabile, cum ar fi compozitele sau ceramica și se aplică pe suprafața masticatorie a dintelui, oferind suport și stabilitate.
5. Proteze telescopate
Protezele telescopate sunt alcătuite din două componente: un element de suport (telescopul) care se fixează pe dinții naturali sau pe implanturi dentare și un element de restaurare (proteza propriu-zisă) care imită dinții naturali. Acest tip de proteză este foarte apreciat de pacienți pentru stabilitatea și estetica sa, oferind pacienților o funcționalitate foarte bună a dinților.
01 Ortodonție
1. Tratamentul caninilor incluși
Caninii incluși sunt acei dinți care nu erup în poziția corectă în cavitatea bucală, rămânând incluși în os sau gingie. Această problemă este destul de frecventă și poate afecta atât estetica zâmbetului, cât și funcția de masticație.
Incidența caninilor incluși variază în funcție de populație și de studiu, dar, în general, se estimează că aproximativ 1-2% din populație este afectată de această problemă. Caninii superiori sunt mai frecvent incluși decât cei inferiori.
05 Endodonție
Ce este un tratament endodontic?
Tratamentul endodontic, cunoscut și sub denumirea de tratament de canal, este o procedură stomatologică care vizează tratarea infecțiilor sau leziunilor din interiorul dintelui, în special în pulpa dentară. Aceasta implică îndepărtarea țesutului pulpar afectat, curățarea canalelor radiculare și umplerea acestora cu un material special. Este foarte important ca acest tratament să se realizeze corect pentru a preveni eventuale infecții și a salva dintele.
06 Tratamente interdisciplinare
1. Colaborare chirurgie – ortodonție - protetică
Pacientul se prezintă în cabinet pentru a trata absența a doi molari inferiori. Problema ridicată este aceea că acei molari au fost extrași în urmă cu mult timp iar molarii superiori au ”coborât” nelăsând spațiu suficient pentru a pune coroane de o formă și înălțime corectă pe implanturi. O soluție ar fi aceea de a scoate nervul și a se șlefui dinții de sus pentru a face spațiu. Noi am ales o altă variantă: am pus aparat dentar cu mini-implanturi, am intruzat dinții de sus si am creat astfel loc pentru coroane corecte pe implanturi.
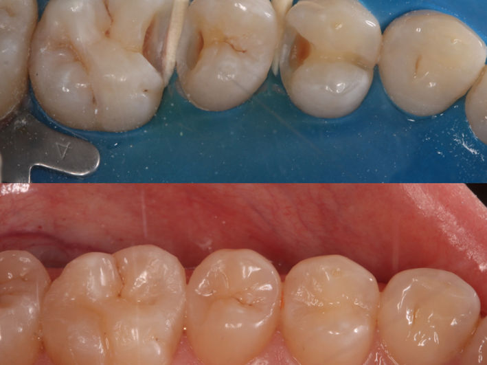
2. Tratament ortodonție - protetică
Pacienta se prezinta în cabinet pentru a trata leziunea de la nivelul molarului inferior. Analizând ocluzia observăm absența spațiului suficient pentru o lucrare corectă. Astfel, am aplicat un aparat dentar local cu mini-implanturi pentru a intruza molarul superior si a recâștiga spațiul necesar.
După tratamentul ortodontic și câștigarea spațiului necesar am preparat minim dintele, am luat amprentă și tehnicianul a realizat un onlay din material compozit. Acesta a fost lipit sub izolare cu digă.
04 Chirurgie
Tratament chirurgical de adiție gingivală
Grefa gingivală este o procedură chirurgicală prin care se prelevează țesut gingival sănătos dintr-o altă zonă a gurii și se transplantează în zona afectată. Prin această procedură se creează un strat mai gros de gingie în jurul implanturilor. Astfel sunt protejate de infecții si au un aspect estetic.















































































